La prothèse d'épaule
Pourquoi OPERER ?
Vous êtes porteur d’une pathologie destructrice du cartilage articulaire de l’articulation gléno-humérale de l’épaule qui entraîne des douleurs et un enraidissement que vous supportez mal malgré un traitement médical et fonctionnel. La mise en place d’une prothèse totale d’épaule peut vous améliorer.
L’arthrose de l’épaule diffère notablement de celle des autres articulations, elle a deux originalités qui rendent son traitement plus complexe.
La détérioration arthrosique peut endommager sérieusement l’os, en particulier la glène dont le volume osseux est déja à l’origine très réduit, cequi peut compliquer notablement l’intervention.
La détérioration arthrosique peut s’accompagner de lésions tendineuses de la coiffe des rotateurs ( la coiffe des rotateurs est l’ensemble des 4 tendons moteurs principaux de l’épaule), ce qui peut compromettre le résultat fonctionnel et la longévité de la prothèse.
L’arthrose de l’épaule mérite donc une attention diagnostic et thérapeutique particulière.
L'intervention
Dans le cadre de votre pathologie, il y a une atteinte de la tête humérale et de la glène.
Sauf contre-indication (rupture de la coiffe, grande érosion osseuse de la glène), une prothèse totale sera posée. Cette dernière, modulaire, permet de reproduire d’une façon la plus exacte possible l’anatomie de votre épaule.
Une procédure d’évaluation préopératoire 3D afin faciliter le positionnement chirurgical des implants peut être nécéssaire, particulièrement dans les destructions osseuses importantes. Cette technique peut permettre d’obtenir des guides sur mesure de pose de prothèse personnalisée ou PSI.
L'anesthésie
L’intervention se déroule le plus souvent sous anesthésie générale. Une anesthésie loco-régionale permettra, si nécessaire, l’analgésie en post opératoire immédiat.
Les résultats à attendre de cette intervention
- Le principal bénéfice de cette intervention est la disparition de la douleur et la récupération progressive de la mobilité active de l’épaule,
- Un bon résultat fonctionnel est obtenu grâce à un programme de rééducation spécifique,
- Le résultat final est obtenu après 6 à 12 mois et est en relation directe avec le degré d’atteinte préopératoire de votre épaule.
Des complications peuvent-elles survenir pendant l’opération ?
Malgré toute la méticulosité du geste chirurgical, il peut se produire, au cours de l'opération prévue, dans des cas isolés, des incidents. Ils sont le plus souvent aussitôt repérés et donnent lieu à un traitement. Cela peut être:
- Lésions nerveuses ou vasculaires,
- Fracture de l’humérus ou de l’omoplate,
- Paralysie le plus souvent temporaire du membre supérieur.
Des complications peuvent-elles survenir après l’opération ?
Des troubles peuvent survenir même après l’opération. Cela peut être :
- occasionnellement des hémorragies secondaires et des hématomes qui doivent être traités ;
- de façon exceptionnelle une infection de la région opérée. Un traitement antibiotique de longue durée est alors indispensable et une ré-intervention chirurgicale pour lavage ou changement de la prothèse est parfois nécessaire.
- la formation et la migration de caillots sanguins, voire l'obstruction d'un vaisseau sanguin (thrombose, embolie) ;
- Luxation de la prothèse (rare)
- Usure du matériel et descellement de la prothèse : complications tardives qui sont communes à toutes les prothèses articulaires
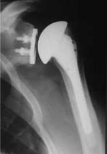
Votre prothèse
Tous les matériaux, composant les prothèses d’épaule ont été conçus pour répondre à des normes strictes de résistance et de tolérance.
Le choix du matériel qui vous sera implanté a été choisi en fonction de la pathologie ainsi que de votre morphologie de façon à obtenir une prothèse aussi stable que possible. La prothèse reproduit le fonctionnement d'une articulation normale et autorise le maximum de mouvements possibles.
Dans la majorité des cas il s’agit d’une prothèse totale, c’est à dire qui remplace l’ensemble des surfaces articulaires de l’humérus, de la glène. L’utilisation d’une tige huméral ou d’un ancrage court dépend de l’atteinte osseuse. L’ancrage court permet l’utilisation des procédures mini-invasives.
Plus rarement Il s’agit d’une prothèse de resurfaçage humérale, c’est-à-dire qui remplace la surface articulaire de l’humérus uniquement. Cette cupule peut être mise en place par une technique de mini-incision.
Dans certains cas les contraintes anatomiques liées à la rupture de vos tendons (coiffe des rotateurs) et aux dégâts osseux gléno-huméraux peuvent nécessiter le recours à une prothèse d’épaule semi-contrainte INVERSEE.
La convalescence
La rééducation est commencée au 1er jour post-opératoire selon les critères de temps d’hospitalisation réduit ou « rapid recovery ». Elle sera poursuivie pendant 6 à 12 mois selon le degré de récupération ; Cette rééducation est faite par un kinésithérapeute à un rythme de 2 à 3 séances par semaine. L’auto-rééducation est obligatoire et doit être faite 2 à 3 fois par jour.
L’ablation des fils se fait vers le 15e jour post-opératoire.
Un bilan radiographique sera fait avant votre sortie, à 6 semaines, 3 mois, 6 mois, 1 an puis tous les 2 ans ou à la demande.
Surveillance et précautions
Prévenir votre dentiste que vous êtes porteur ou porteuse d’une prothèse avant tout traitement dentaire.
Pas d’injection intramusculaire ou sous cutanée dans l’épaule opérée.
Prévenir votre chirurgien devant toute fièvre ou infection (angine, urinaire …)
























